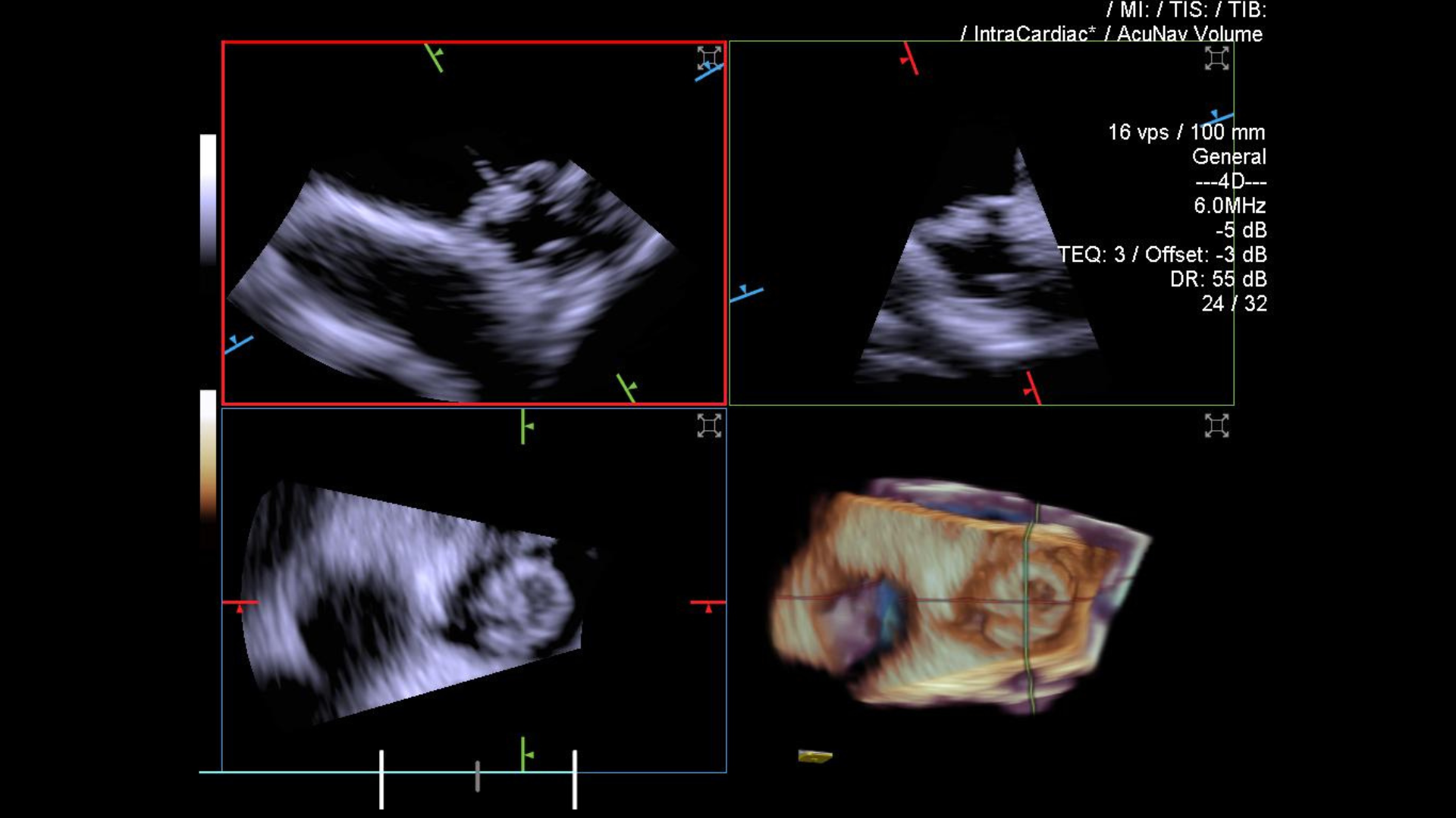
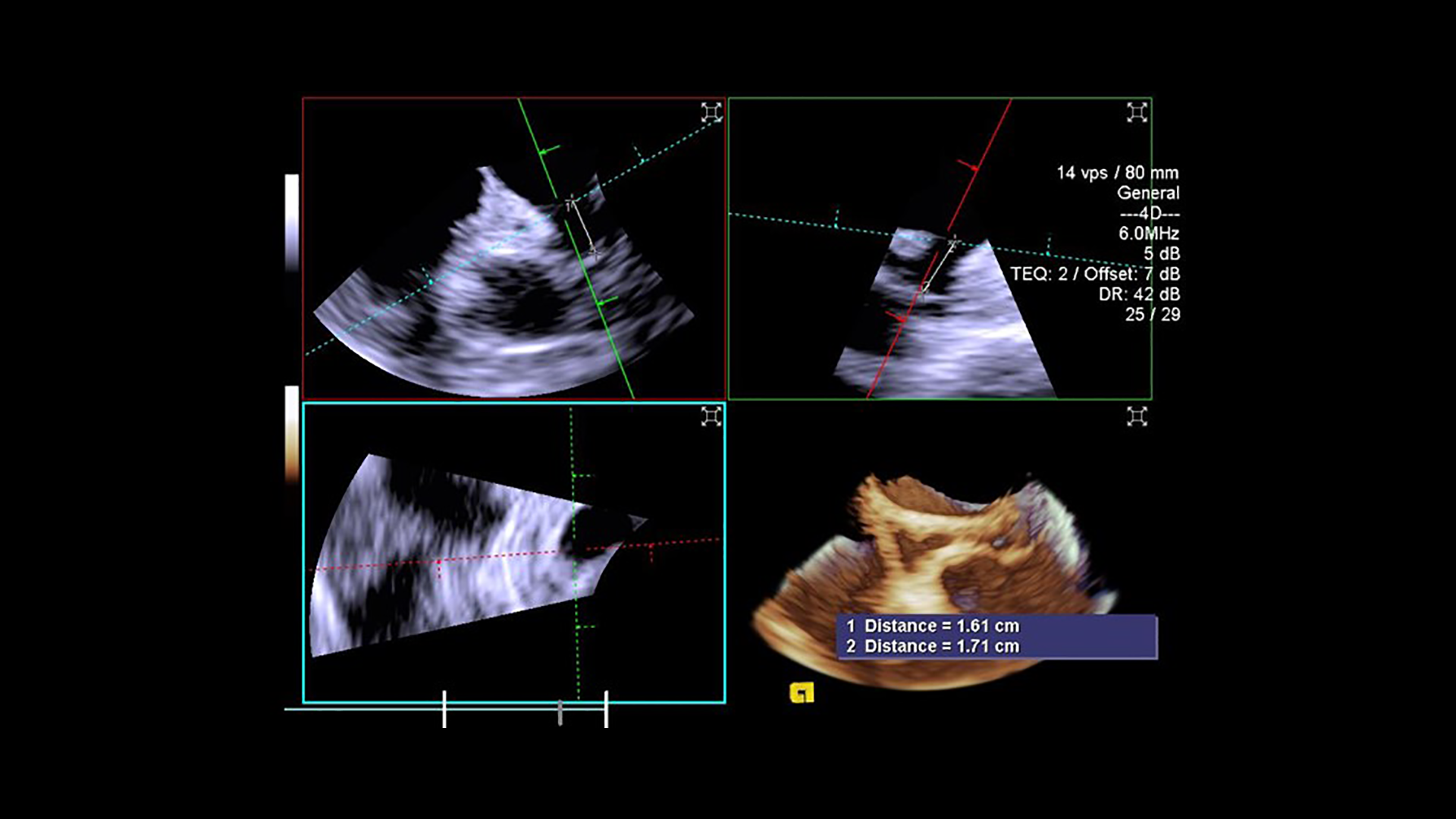
Ice Catheter Siemens .  introducing the acunav lumos 4d ice catheter, delivering incredible image quality and precise procedural guidance. In matters of the heart, visualization matters. Learn more about our newest.   the acunav volume ice catheter transforms care delivery by enabling treatment of patients who were.  with the acuson acunav volume 4d ice catheter, you can take on the most complex cases with the highest standard in.   acuson acunav volume ice catheter.   siemens healthineers has received ce mark for the acunav volume ice (intracardiac echocardiography) catheter, which is a. See full details of the heart in dynamic 4d motion even while imaging patients in.  * the acuson acunav 4d ice catheter enables precise orthogonal plane measurements with reference planes.  acuson acunav volume ice catheter. This is command, in your hands.   according to siemens, the acunav volume ice catheter enables treatment of patients who were previously.
        
         
         
        from www.siemens-healthineers.com 
     
        
         with the acuson acunav volume 4d ice catheter, you can take on the most complex cases with the highest standard in.   siemens healthineers has received ce mark for the acunav volume ice (intracardiac echocardiography) catheter, which is a. See full details of the heart in dynamic 4d motion even while imaging patients in.  introducing the acunav lumos 4d ice catheter, delivering incredible image quality and precise procedural guidance.  acuson acunav volume ice catheter.  * the acuson acunav 4d ice catheter enables precise orthogonal plane measurements with reference planes.   according to siemens, the acunav volume ice catheter enables treatment of patients who were previously.   the acunav volume ice catheter transforms care delivery by enabling treatment of patients who were. Learn more about our newest.   acuson acunav volume ice catheter.
    
    	
            
	
		 
	 
         
    ACUSON AcuNav Volume 4D ICE Catheter Siemens Healthineers USA 
    Ice Catheter Siemens  In matters of the heart, visualization matters. In matters of the heart, visualization matters.   acuson acunav volume ice catheter. Learn more about our newest.  introducing the acunav lumos 4d ice catheter, delivering incredible image quality and precise procedural guidance.  with the acuson acunav volume 4d ice catheter, you can take on the most complex cases with the highest standard in.   siemens healthineers has received ce mark for the acunav volume ice (intracardiac echocardiography) catheter, which is a.  acuson acunav volume ice catheter.  * the acuson acunav 4d ice catheter enables precise orthogonal plane measurements with reference planes.   according to siemens, the acunav volume ice catheter enables treatment of patients who were previously.   the acunav volume ice catheter transforms care delivery by enabling treatment of patients who were. This is command, in your hands. See full details of the heart in dynamic 4d motion even while imaging patients in.
            
	
		 
	 
         
 
    
         
        From www.siemens-healthineers.com 
                    AcuNav Lumos 4D ICE Catheter Siemens Healthineers USA Ice Catheter Siemens   acuson acunav volume ice catheter.  introducing the acunav lumos 4d ice catheter, delivering incredible image quality and precise procedural guidance. See full details of the heart in dynamic 4d motion even while imaging patients in.   siemens healthineers has received ce mark for the acunav volume ice (intracardiac echocardiography) catheter, which is a.   acuson acunav volume ice. Ice Catheter Siemens.
     
    
         
        From www.siemens-healthineers.com 
                    Siemens Healthineers Receives CE Mark for the ACUSON AcuNav Volume ICE Ice Catheter Siemens   acuson acunav volume ice catheter. This is command, in your hands.   siemens healthineers has received ce mark for the acunav volume ice (intracardiac echocardiography) catheter, which is a. See full details of the heart in dynamic 4d motion even while imaging patients in.   acuson acunav volume ice catheter.  * the acuson acunav 4d ice catheter enables. Ice Catheter Siemens.
     
    
         
        From www.siemens-healthineers.com 
                    ACUSON AcuNav Volume 4D ICE Catheter Siemens Healthineers USA Ice Catheter Siemens   with the acuson acunav volume 4d ice catheter, you can take on the most complex cases with the highest standard in. This is command, in your hands. See full details of the heart in dynamic 4d motion even while imaging patients in.   acuson acunav volume ice catheter.   siemens healthineers has received ce mark for the acunav volume. Ice Catheter Siemens.
     
    
         
        From www.siemens-healthineers.com 
                    AcuNav Lumos 4D Volume ICE Catheter Siemens Healthineers Ice Catheter Siemens  This is command, in your hands.   acuson acunav volume ice catheter. Learn more about our newest.  with the acuson acunav volume 4d ice catheter, you can take on the most complex cases with the highest standard in.   the acunav volume ice catheter transforms care delivery by enabling treatment of patients who were.  introducing the acunav lumos. Ice Catheter Siemens.
     
    
         
        From www.siemens-healthineers.com 
                    Milestones in Intracardiac Echocardiography Siemens Healthineers Ice Catheter Siemens    the acunav volume ice catheter transforms care delivery by enabling treatment of patients who were.  acuson acunav volume ice catheter. This is command, in your hands.   according to siemens, the acunav volume ice catheter enables treatment of patients who were previously.  * the acuson acunav 4d ice catheter enables precise orthogonal plane measurements with reference planes.. Ice Catheter Siemens.
     
    
         
        From www.siemens-healthineers.com 
                    Milestones in Intracardiac Echocardiography Siemens Healthineers USA Ice Catheter Siemens  Learn more about our newest.   according to siemens, the acunav volume ice catheter enables treatment of patients who were previously.  with the acuson acunav volume 4d ice catheter, you can take on the most complex cases with the highest standard in.   the acunav volume ice catheter transforms care delivery by enabling treatment of patients who were. See. Ice Catheter Siemens.
     
    
         
        From www.siemens-healthineers.com 
                    ACUSON AcuNav Volume ICE Catheter Siemens Healthineers Portugal Ice Catheter Siemens   * the acuson acunav 4d ice catheter enables precise orthogonal plane measurements with reference planes. Learn more about our newest. This is command, in your hands.   the acunav volume ice catheter transforms care delivery by enabling treatment of patients who were. In matters of the heart, visualization matters.  introducing the acunav lumos 4d ice catheter, delivering incredible. Ice Catheter Siemens.
     
    
         
        From www.siemens-healthineers.com 
                    ACUSON AcuNav Volume 4D ICE Catheter Siemens Healthineers USA Ice Catheter Siemens   * the acuson acunav 4d ice catheter enables precise orthogonal plane measurements with reference planes.  introducing the acunav lumos 4d ice catheter, delivering incredible image quality and precise procedural guidance. See full details of the heart in dynamic 4d motion even while imaging patients in. In matters of the heart, visualization matters.   the acunav volume ice catheter. Ice Catheter Siemens.
     
    
         
        From www.siemens-healthineers.com 
                    ACUSON AcuNav Volume 4D ICE Catheter Siemens Healthineers USA Ice Catheter Siemens  Learn more about our newest.  acuson acunav volume ice catheter.  introducing the acunav lumos 4d ice catheter, delivering incredible image quality and precise procedural guidance.   acuson acunav volume ice catheter.   siemens healthineers has received ce mark for the acunav volume ice (intracardiac echocardiography) catheter, which is a.  * the acuson acunav 4d ice catheter enables. Ice Catheter Siemens.
     
    
         
        From www.siemens-healthineers.com 
                    AcuNav Lumos 4D Volume ICE Catheter Siemens Healthineers Ice Catheter Siemens    the acunav volume ice catheter transforms care delivery by enabling treatment of patients who were. This is command, in your hands. See full details of the heart in dynamic 4d motion even while imaging patients in.   according to siemens, the acunav volume ice catheter enables treatment of patients who were previously.  introducing the acunav lumos 4d ice. Ice Catheter Siemens.
     
    
         
        From www.siemens-healthineers.com 
                    ACUSON AcuNav Volume ICE Catheter Siemens Healthineers USA Ice Catheter Siemens    acuson acunav volume ice catheter.   the acunav volume ice catheter transforms care delivery by enabling treatment of patients who were.  acuson acunav volume ice catheter.  introducing the acunav lumos 4d ice catheter, delivering incredible image quality and precise procedural guidance.   according to siemens, the acunav volume ice catheter enables treatment of patients who were previously.. Ice Catheter Siemens.
     
    
         
        From www.siemens-healthineers.com 
                    ACUSON AcuNav Volume ICE Catheter Siemens Healthineers Ice Catheter Siemens  Learn more about our newest.  * the acuson acunav 4d ice catheter enables precise orthogonal plane measurements with reference planes. See full details of the heart in dynamic 4d motion even while imaging patients in.  with the acuson acunav volume 4d ice catheter, you can take on the most complex cases with the highest standard in.   according. Ice Catheter Siemens.
     
    
         
        From www.siemens-healthineers.com 
                    ACUSON AcuNav Volume 4D ICE Catheter Siemens Healthineers Portugal Ice Catheter Siemens  In matters of the heart, visualization matters. This is command, in your hands.   siemens healthineers has received ce mark for the acunav volume ice (intracardiac echocardiography) catheter, which is a.  with the acuson acunav volume 4d ice catheter, you can take on the most complex cases with the highest standard in. See full details of the heart in. Ice Catheter Siemens.
     
    
         
        From www.siemens-healthineers.com 
                    ACUSON AcuNav Volume ICE Catheter Siemens Healthineers Vietnam Ice Catheter Siemens   * the acuson acunav 4d ice catheter enables precise orthogonal plane measurements with reference planes.   the acunav volume ice catheter transforms care delivery by enabling treatment of patients who were. Learn more about our newest.   according to siemens, the acunav volume ice catheter enables treatment of patients who were previously.   siemens healthineers has received ce mark. Ice Catheter Siemens.
     
    
         
        From www.siemens-healthineers.com 
                    ACUSON AcuNav Volume 4D ICE Catheter Siemens Healthineers USA Ice Catheter Siemens  This is command, in your hands.  * the acuson acunav 4d ice catheter enables precise orthogonal plane measurements with reference planes.  acuson acunav volume ice catheter.   the acunav volume ice catheter transforms care delivery by enabling treatment of patients who were. In matters of the heart, visualization matters.  introducing the acunav lumos 4d ice catheter, delivering. Ice Catheter Siemens.
     
    
         
        From www.siemens-healthineers.com 
                    ACUSON AcuNav Volume 4D ICE Catheter Siemens Healthineers USA Ice Catheter Siemens   acuson acunav volume ice catheter. See full details of the heart in dynamic 4d motion even while imaging patients in.  with the acuson acunav volume 4d ice catheter, you can take on the most complex cases with the highest standard in.   the acunav volume ice catheter transforms care delivery by enabling treatment of patients who were. . Ice Catheter Siemens.
     
    
         
        From www.siemens-healthineers.com 
                    AcuNav Lumos 4D ICE Catheter Siemens Healthineers Ice Catheter Siemens   introducing the acunav lumos 4d ice catheter, delivering incredible image quality and precise procedural guidance.   according to siemens, the acunav volume ice catheter enables treatment of patients who were previously. In matters of the heart, visualization matters.   siemens healthineers has received ce mark for the acunav volume ice (intracardiac echocardiography) catheter, which is a.  acuson acunav. Ice Catheter Siemens.
     
    
         
        From www.siemens-healthineers.com 
                    ACUSON AcuNav Volume ICE Catheter Siemens Healthineers Vietnam Ice Catheter Siemens   acuson acunav volume ice catheter.  with the acuson acunav volume 4d ice catheter, you can take on the most complex cases with the highest standard in.   the acunav volume ice catheter transforms care delivery by enabling treatment of patients who were. This is command, in your hands.  introducing the acunav lumos 4d ice catheter, delivering incredible. Ice Catheter Siemens.